🦷Zâmbet sănătos și strălucitor în Dumbrăvița - 300 RON🦷

📍Timiș, Dumbrăvița, strada Petofi Sandor 92📍

Fără durere, fără surprize

Consultație + igienizare 300 RON

  • Igienizare profesională

  • Consultație medicală

  • Plan de tratament personalizat

Fără durere, fără surprize

Consultație + igienizare 300 RON

  • Igienizare profesională

  • Consultație medicală

  • Plan de tratament personalizat

CUNOAȘTE MEDICUL

Cojocaru Anca-Mihaela

Bună! Eu sunt Mihaela și sunt medic stomatolog.

Misiunea mea este să transform vizita la stomatolog dintr-o sursă de anxietate într-o experiență confortabilă și sigură.

Am absolvit studiile în cadrul Facultatea de Medicină Dentară - UMF Timișoara, unde m-am specializat în tehnici de tratament moderne și am învățat un lucru esențial: pentru a trata un pacient, trebuie mai întâi să-l înțelegi.

Cu peste 3 ani de experiență și sute de pacienți îngrijiți, am construit un cabinet în care oamenii se întorc

PĂREREA PACIENȚILOR

IATĂ CE SPUN VECINII TĂI DESPRE „ArhaDental”

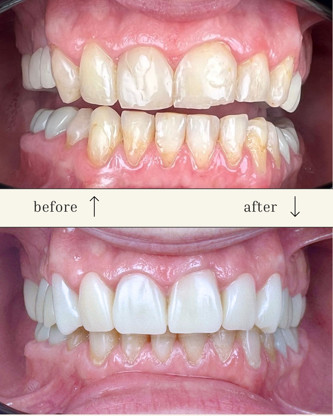
CITEȘTE POVEȘTILE DE TRATARE A PACIENȚILOR

POZE ȘI LOCAȚIE

Vizitează Cabinetul Nostru

Timiș, Dumbrăvița, strada Petofi Sandor 92

Vizitează Cabinetul Nostru

Timiș, Dumbrăvița, strada Petofi Sandor 92